×

NEPAL TIMES UPDATES

Playing
सुगौली सन्धिको धारा ५को रहस्य, जुन भारतले कहिल्यै भन्न चाहँदैन|| Nepal Times
May 07, 2026
Playing
आज को बन्दैछ प्रधानन्यायाधीश ?को छ चर्चामा ? || Nepal Times
May 07, 2026
Playing
ममता हारेपछि बीजेपीले चलायो बुल्डोजर, कलकत्तामा हिंसा|| Nepal Times
May 06, 2026
Playing
जताततै राजनीतिकरण, यसैले बालेनले लगाए दलीयकरणविरुद्ध ‘डोजर’ || Nepal Times
May 06, 2026
Playing
भारत–पाकिस्तानबीच थप खत*रनाक यु*द्ध हुनसक्ने अमेरिकी एक्स*पर्टको चेता*वनी|| Nepal Times
May 06, 2026
Playing
संवैधानिक परिषद्को बैठक भोलि ः प्रधानन्यायाधीशमा कसलाई सिफारिस ? || Nepal Times
May 06, 2026
Playing
Watch Top50 News Of The Day || Baisakh-23-2083 || Nepal Times
May 06, 2026
Playing
जेठदेखि सहकारीको पैसा फिर्ता,सबैभन्दा पहिला कसले पाउँछन् ? || Nepal Times
May 06, 2026
Playing
देउवा दम्पतीलाई पक्राउ गर्न इन्टरपोलले किन मानेन ?|| Nepal Times
May 06, 2026
Playing
फेरि गृहमन्त्रीमा फर्किदैछन् सुधन गुरुङ ?|| Nepal Times
May 06, 2026

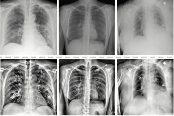
कोरोना भएपछि फोक्सोमा देखिएको खराबी पत्ता लगाउने नयाँ प्रविधिको विकास

१७ माघ २०७८

१७ माघ, काठमाडौँ । कोरोना भाइरस सङ्क्रमण भइसकेको मानिसको फोक्सोमा हतपत पत्ता नलाग्ने खराबी देखाउने नयाँ प्रविधि पत्ता लागेको छ ।

बेलायतमा यो प्रविधिमार्फत गरिएको प्रारम्भिक अध्ययनले कोभिड भएका मानिसको फोक्सो सहजै पत्ता नलाग्ने गरी क्षति भएको देखाएको अन्तराष्ट्रिय सञ्चारमाध्यमहरुले जनाएको छ ।

Advertisement
Advertisement

नियमित जाँचबाट नदेखिने फोक्सोको अस्वाभाविक रुपबारे अध्ययनका लागि वैज्ञानिकहरूले नयाँ ग्याँस स्क्यान प्रक्रिया अपनाएका थिए ।

कोभिडको प्रारम्भिक चरणमा अस्पतालको उपचार आवश्यक नभएका तर पछि लामो समयसम्म श्वासप्रश्वासको समस्या भएका ११ जनामा यो प्रविधिमार्फत अध्ययन गरिएकोमा नियमित जाँचबाट पत्ता नलाग्ने गरी क्षति भएको देखाएको हो ।

यसबारे अझै बृहत् र विस्तृत अध्ययन भइरहेको खबरमा जनाइएको छ । कोभिड भएपछि अस्पताल भर्ना भएका मानिसहरूमा गरिएको यसअघिकै अध्ययनमा आधारित भएर नयाँ अध्ययन थालिएको थियो ।

अनुसन्धानकर्ताहरूले अध्ययनबाट दीर्घ कोभिड भएका प्रायजसो बिरामीलाई किन श्वासप्रश्वास सम्बन्धी समस्या हुन्छ भन्नेबारे थप प्रष्ट पार्ने बताएका छन् ।

Advertisement
Advertisement

जाँचमा अरू कुनै रोग नदेखिए पनि कोरोना भाइरस सङ्क्रमण लक्षण कयौँ हप्तासम्म निको नहुने अवस्थालाई दीर्घ कोभिड भन्ने गरिएको छ ।

भर्खरको समाचार

नेपाल लाइफको २५औं वार्षिकोत्सवमा निःशुल्क स्वास्थ्य शिविर सम्पन्न

PHOTO-2026-05-06-16-50-22_1

चीन पुगेर अराघची भने, दबाबमा परेर अमेरिकासँग सम्झौता गर्दैनौँ

AA-20251130-39852458-39852446-HAKAN_FIDAN_ABBAS_ARAGHCHI_MEETING_IN_TEHRAN

बालेनको ‘मौन शासन’, कस्तो छ मौन नेताहरुको विश्व इतिहास ?

673552990_885176981214011_4752642812789267118_n

ओलीको ’चुच्चे नक्सा’ देखि बालेनको ’नोट’सम्मः सीमा रक्षाको संघर्ष

Kalapani-Lipulekha-Limpiyadhura

साथीकै पत्नीसँग विवाहेत्तर सम्बन्ध, हल्ला भएपछि हत्या

Screenshot 2026-05-06 143916

पूर्वविशिष्टले लिए सवारीको दोहोरो सुविधा ?विवरण आजै बुझाउन गृहलाई निर्देशन

666707698_875077882223921_4422618132601218086_n

जेठदेखि सहकारीको पैसा फिर्ता,सबैभन्दा पहिला कसले पाउँछन् ?

nepali paisa

सरकारले ८० हजार टन मल किन्दै

8f3c375b-11be-4738-96c3-2d56f6d2d987

बन्द भए ट्रेड युनियनका कार्यालय, अध्यादेशपछि एक्सनमा सरकार

42412c11-68f9-4814-ade7-2710d505dd4c

आज विहानैदेखि वर्षा, कहाँको मौसम कस्तो छ ?

mausam-2075-12-18-768x388

सम्बन्धित खबरहरु

Scroll to Top