१८ असोज, एजेन्सी ।
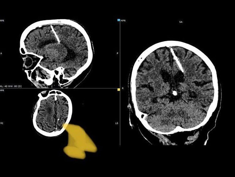
रुसमा एउटा अचम्मको घटना बाहिर आएको छ । त्यहाँ ८० वर्षीया महिलाको मस्तिष्कमा ३ सेन्टिमिटर लामो सुई भेटिएको छ । ती महिलाले आफ्नो सम्पूर्ण जीवन यही सुईको साथ बिताइन्। डाक्टरहरूले सिटि स्क्यान गर्दा यो कुरा थाहा पाएका छन् । बैज्ञानिकहरुले यो घटनालाई भ्रुण हत्याको प्रयास भएको मानेका छन् चिकित्सक भन्छन् कि ती महिलाका आमाबाबुले मार्न चाहेको हुन सक्छ, तर तिनीहरू असफल भए ।
पछि उनको अवस्था बिग्रने डरले उनीहरुले सुई निकाल्ने प्रयास गरेनन् । रुसको दुर्गम क्षेत्र सखालिनको स्थानीय स्वास्थ्य विभागले भनेको छ, “अकालको समयमा यस्ता घटनाहरू सामान्य थिएनन्,“ । उनका आमाबाबुले दोस्रो विश्वयुद्धको समयमा बच्चालाई मार्ने निर्णय गरेको हुन सक्छन । जन्मेदेखि नै उनले ३ सेन्टिमिटर लामो सुई बोकेर बाँच्नुपरेको थियो ।

विज्ञप्तिमा भनिएको छ कि यस्ता विधिहरू प्रायः अपराधको प्रमाण लुकाउन प्रयोग गरिन्छ। युद्धको समयमा सोभियत संघमा खाद्यान्न अभाव थियो। जनता गरिबीमा बाँचिरहेका थिए । महिलाको देब्रे भागमा सुई पसेको स्थानीय विभागले जनाएको छ । तर त्यसको कुनै असर भएन र बालिका बाँचिन् ।
चोटका कारण बिरामीले कहिल्यै टाउको दुखेको गुनासो नगरेको र आफूलाई कुनै खतरा नभएको बताएको पनि चिकित्सकले बताएका छन् । अहिले महिलाको स्वास्थ्यको हेरचाह भइरहेको छ । सन् २००९ मा पनि यस्तै एउटा घटना बाहिर आएको थियो । त्यसपछि अमेरिकाको कोलोराडोका ७२ वर्षीय पुरुषको साइनसमा वर्षौंदेखि नङ अड्किएको थियो ।


